CHIRURGIA CON IMAGING IN FLUORESCENZA NIR/ICG
alcuni casi esemplificativi
CHIRURGIA CON IMAGING IN FLUORESCENZA NIR/ICG
alcuni casi esemplificativi
COLECISTECTOMIA DIFFICILE
Pz con pregressa colecistite acuta.
Nuovo episodio con ittero da coledocolitiasi. Bonifica della VBP mediante ERCP. Ulteriori coliche: si decide per intervento
Foto 1: La fluorescenza identifica la VBP: si evidenziano altre 2 strutture da identificare
Foto 2: una cauta ulteriore dissezione permette di identificare il dotto cistico e l’arteria cistica in posizione anomala
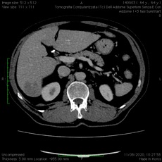
HCC 7 SEGMENTO: RESEZIONE IGC- ED ECOGUIDATA
Pz con HCC localizzato alla faccia inferiore del 7 segmento di 40 mm
link per il video su youtube : https://www.youtube.com/watch?v=TAZUHUC9RLg
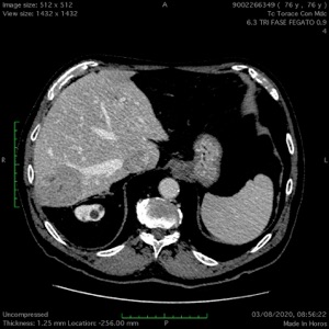
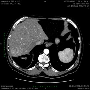
HCC 7 SEGMENTO RECIDIVO: ABLAZIONE MEDIANTE MICROONDE CONGUIDA ECG E CEIOUS
Pz di 77 anni con recidiva locale di HCC in 7s già pluritrattato nella stessa sede con termoablazioni percutanee (5 sessioni). Non resecabile in quanto la recidiva voluminosa (50mm) prende contatto con la sovraepatica dx: il pz non ha i criteri adeguati per una epatectomia dx
link per il video su youtube: https://www.youtube.com/watch?v=zccIRcpWA4c